Aslen Kongolu olan 50 yaşındaki bir kadın, Yemek yedikten sonra çektiği mide krampları, hazımsızlık ve karnından gelen guruldama sesleri nedeni ile ABD'nin New York kentinde hastaneye gitti.
ŞİMDİYE KADAR 290 VAKANIN GÖRÜLDÜĞÜ NADİR BİR DURUM
Doktorların yaptığı incelemeler şimdiye kadar benzer 290 vakanın görüldüğü nadir bir durumu ortaya çıkarırken talihsiz kadının ABD'ye geldikten 14 ay sonra hayatını kaybettiği öğrenildi.
BMC Kadın Sağlığı dergisi bu ayki sayısında ilk kez 1582 yılında Fransa'da görüşen nadir tıbbi durumu ve kadının acı hayat hikayesini okurları ile paylaştı.

HAKSIZ YERE SUÇLANDI, BİR DAHA DOKTORA GİTMEDİ
Talihsiz kadının genç yaşlarda ülkede yaşanan çatışmalar nedeni ile Kongo'dan Burundi'ye buradan da Tanzanya'ya taşınarak iki kez yerinden edildiği öğrenildi.
Tanzanya'ya yerleşen ve doğal yollardan 8 çocuk sahibi olan kadının 3 bebeği doğumdan kısa bir süre sonra öldü. Dokuzuncu hamileliğinde karnındaki bebeğin hareket etmediğini fark eden anne, mülteci kampındaki bir doktoru ziyaret etti.
Doktorlar bebekte kalp atışı olmadığını belirterek kadına bu süreci evde doğal yollarla atlatmasını eğer bu işe yaramazsa iki hafta içinde geri gelmesini söyledi. Kadın doktorların talimatını izleyerek iki hafta sonra doktorun yanına geri gitti. Ancak çevresindeki insanlar kadını 'bebeğini öldürmek' ve 'şeytani işler yapmak'la suçladı.
Bu da talihsiz kadının tıbbi yardım almadan evine geri dönmesine neden oldu.

ÖLÜ CENİNİ 9 YIL BOYUNCA KARNINDA TAŞIDI
Acımasız suçlamalarla karşı karşıya kalan kadın tekrar doktora gitmedi ve karnındaki ölü cenini tam dokuz yıl boyunca taşıdı.
ABD'ye gelene kadar hiç doktora gitmediği öğrenilen kadın nihayet hastaneye gittiğinde ince bağırsakları tıkanmış durumdaydı.
'LANETLİYİM' DİYEREK AMELİYATI REDDETTİ
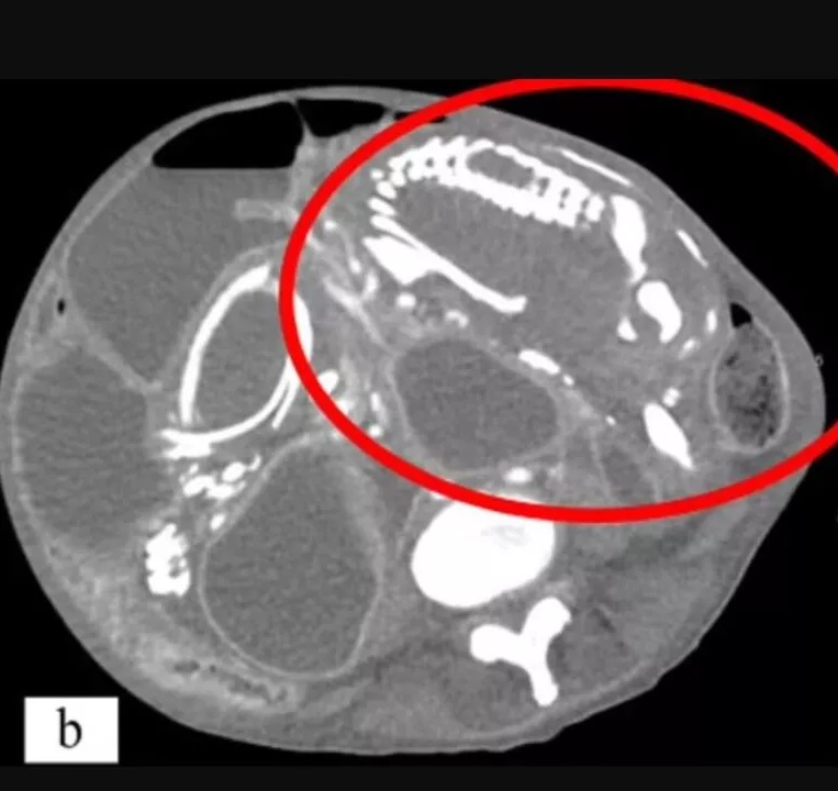
Doktorlar yaptıkları taramalarda kadının karnında 15-20 cm büyüklüğünde bir iskelet olduğunu keşfettiler ve kadına bu kitlenin alınması gerektiğini söylediler. Geçmişte yaşadığı olaylardan dolayı durumunun bir 'lanetten' kaynaklandığını iddia eden kadın ameliyat olmayı reddetti ve sadece antibiyotik almaya ikna oldu.
YETERSİZ BESLENMEDEN HAYATINI KAYBETTİ
Kadının doktorları ziyaretinden 14 ay sonra yetersiz beslenmeden hayatını kaybettiği öğrenildi. SUNY Upstate Tıp Fakültesi'nden Dr Waseem Sous, kadının dokuzuncu bebeğinin 28. haftada gelişmeyi bıraktığı, kadının düşük yapması gerekirken 'lithopedion' olarak bilinen duruma maruz kaldığını belirtti.
LİTHOPEDİON (TAŞ BEBEK) NEDİR?
'Taş bebek' olarak da bilinen 'Lithopedion' son derece nadir olarak görülen tıbbi bir durum.
Dış Gebelik (ektopik gebelik) durumlarında bebeğin anne karnında hayatını kaybetmesi ancak fetüsün vücut dışına atılamaması nedeni ile oluşan 'Lithopedion' anne için ölümcül komplikasyonlara yol açabilir.
Anne karnındaki ölü fetüsü yabancı bir madde olarak algılayan vücut koruma kalkanını açar ve ölü bebeğin anneye zarar vermemesi için zamanla kireçlenmeye (kalsifikasyon) başlar. Annenin vücut savunma mekanizması tarafından gerçekleştirilen bu olay sonunda anne karnındaki fetüs zamanla taşlaşır.
40 YIL KARNINDA TAŞIYAN VAR
Tıp literatürü, bu durumdaki taşlaşmış fetüslerin anne karnında 60 yıla kadar taşınabileceğini ortaya koyuyor.
Uzmanlar 'taş bebeklerin' kimi zaman ciddi belirtiler ile kendini gösterdiğini ancak çoğu zaman yıllarca kendini belli etmeden anne karnında kaldığını belirtiyor.
Geçtiğimiz yıllarda Kolombiyalı bir kadının 40 yıl boyunca karnındaki ölü cenin ile yaşadığı ortaya çıkmıştı.
