gr. altın
---
Giriş
Üye Ol
Vorarlberg
Avusturya
Havadis Özel
Türkiye
Dünya
Avrupa
Almanya
TAZİYE
Ekonomi
Spor
Duyurular
Sağlık
Teknoloji/Bilim
Havadis MARKT
Tarih
Havadis DEUTSCH
Kültür/Sanat
Yemek
Tarih
Analiz Haber
Sıla Yolu
Yaşam
Isviçre
Ramazan
Foto Galeri
Video Galeri
Makaleler
Anketler
14:35
Kahramanmaraş'ta okulda silahlı saldırı
18:59
Sürücüler Dikkat: Vorarlberg’de Bu Akşam Zor Hava Koşulları
19:05
Pfändertunnel’de Zincirleme Kaza: Dört Araç Çarpıştı, Trafik Kilitlendi
18:44
İGGÖ’den hükümete açık mektup: Siyasi dil, Müslümanlarda dışlanmışlık duygusunu artırıyor
14:16
Kitlesel balık ölümü araştırılıyor
12:50
İslamofobi Artık Açıkça Yapılıyor: ÖVP’nin Paylaşımı Tepki Topladı
21:32
Ferdi ve Gülcan Nurten Avusturya’nın Kahramanları Arasında
09:07
ATİB Lustenau’da Tarihi Dayanışma: Bağışlar 1,9 Milyon Euroyu Aştı
17:44
Geniş kapsamlı arama Vorarlberg trafiğini zorluyor: Sebebi hâlâ belirsiz
13:25
Lochau’da Türk işletmesine ikinci soygun
Hervis 43 Mağazasını Elden Çıkardı
Korkunç Kaza: Traktörün Altında Can Verdi
ABD’de Dehşet: Sekiz Çocuk Hayatını Kaybetti
Örümcek Korkusu Az Daha Felaketle Bitecekti
Bir Anlık Hata, Bir Can Kaybı
Yaşam
Kategorisi Haberleri
Mahallesinde 36 milletten insan yaşıyor, tercümansız sokağa çıkamıyor
Antalya’nın Konyaaltı ilçesinde denize sıfır konumu ile dikkat çeken Liman Mahallesi, yerleşik yabancıların akınına uğradı. 20 bin nüfusa sahip mahallede 36 farklı milletten 4 bine yakın yerleşik yabancı yaşıyor. Herkesin huzur içerisinde yaşadığı mahallede 6 dönemdir muhtarlık yapan Mahir Bölük, yanına tercüman almadan sokağa çıkamıyor.
07 Eylül 2023, Perşembe - 18:10
Hollandalı Haan, Müslüman olup Abdulmecid ismini aldı
Hollanda vatandaşı Mads De Haan, Denizli’de İslamiyet’i seçerek Müslüman oldu. Hollandalı Haan’ın yeni ismi ise ’Abdulmecid’ oldu.
07 Eylül 2023, Perşembe - 18:06
Milli futbolcu Kerem Aktürkoğlu: Kutsal topraklarımızın manevi anlamda inanılmaz bir atmosferi var
Milli futbolcu Kerem Aktürkoğlu,"Kutsal topraklarımızın manevi anlamda inanılmaz bir atmosferi var. İlk geldiğimiz günden beri zaten bunu insan hissediyor." dedi.
07 Eylül 2023, Perşembe - 14:37
Müslüman olan İspanyol Murga, dinini rahat yaşayabilmek için Mısır'a yerleşti
Kur'an-ı Kerim'i okuyup araştırdıktan sonra Müslüman olan İspanyol kızı Leticia Tirado Murga, dinini daha rahat ve özgür bir şekilde yaşayabilmek için Mısır'da yaşamayı tercih etti.
06 Eylül 2023, Çarşamba - 14:47
Dünyanın en acı tortilla cipsini yiyen 14 yaşındaki çocuk, hayatını kaybetti
ABD’nin Massachusetts eyaletinde sosyal medyada viral olan “Tek Cips” meydan okumasına katılan çocuk hayatını kaybetti.
05 Eylül 2023, Salı - 20:47
Yanlışlıkla hesabına yatırılan 500 bin lirayı sahibine gönderdi
Karabük'te hastanede çalışan güvenlik görevlisi, hesabına yanlışlıkla gönderilen 500 bin lirayı sahibine iade etti.
05 Eylül 2023, Salı - 14:53
Antalya'da kaybolan Alman kadın 10 gündür aranıyor
Ailesiyle birlikte Antalya'nın Alanya ilçesine tatile gelen 72 yaşındaki Alman kadın, kente geldiği gün kayboldu. Yaşlı kadının tek başına, ayakkabısını giymeden çorapla dışarı çıktığı öğrenildi. 10 gündür haber alınamayan kadın için 250 kişilik arama kurtarma ekibi bölgeyi karış karış aramaya devam ederken, 3 dilde hazırlanan broşürler ilçenin farklı noktalarına asıldı.
28 Ağustos 2023, Pazartesi - 10:56
Türk lise öğrencisi Stockholm Gençler Su Ödülü Yarışması nda ödül aldı
Stockholm Uluslararası Su Enstitüsü tarafından düzenlenen "Stockholm Gençler Su Ödülü Yarışması"nda İzmir Özel Çakabey Lisesi öğrencisi Ayşe Pelin Dedeler üstün başarı ödülüne layık görüldü.
26 Ağustos 2023, Cumartesi - 00:05
Yeşil sahaların ezeli rakipleri depremzedeler için el ele verdi
Türk futbolunun ezeli iki rakibi olan Galatasaray ile Fenerbahçe, 6 Şubat depremlerinin merkez üssü Kahramanmaraş'ta, kurdukları konteyner kentlerde afetzedelerin barınma ihtiyacını karşılıyor.
25 Ağustos 2023, Cuma - 23:52
Ağlamasıyla Türkiye'de gündem olan Macar kurtarma şefi, depremzede atletlerle buluştu
Macaristan Ulusal Arama Kurtarma Teşkilatı'nın ekip şefi Laszlo Pavelcze, "Türkleri çok seviyorum. Türkler, çok saygılı ve misafirperver insanlar. Umarım ihtiyaç olmaz ama olursa yine Türkiye'ye giderim." dedi.
25 Ağustos 2023, Cuma - 02:32
Aşırı sıcak hava uyku kaçırıyor
Uzmanlar, Türkiye'yi etkisi altına alan aşırı sıcak havalarda uyku kalitesini sağlamak için iklimlendirme elemanlarıyla ortam sıcaklığının 20 ila 22 derece seviyesinde tutulmasını tavsiye ediyor.
23 Ağustos 2023, Çarşamba - 17:15
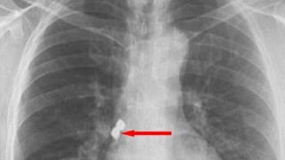
Implant dişlerini yuttu!
Bir kişinin diş tedavisi sırasında soluk borusuna kaçan iki implant müdahalenin ardından başarıyla alındı.
22 Ağustos 2023, Salı - 18:16
«
19
20
21
22
23
24
25
26
27
28
29
»
yazılım
:
habersistemim